На Жовківщині 17-річний хлопець вистрелив собі у груди будівельним пістолетом: фото

На Жовківщині 17-річний хлопець вистрелив собі у груди будівельним пістолетом. Фото: Zaxid.net. 

На Жовківщині 17-річний хлопець вистрелив собі у груди будівельним пістолетом. Фото: Zaxid.net. 

Події
05 квiтня 2021 14:39

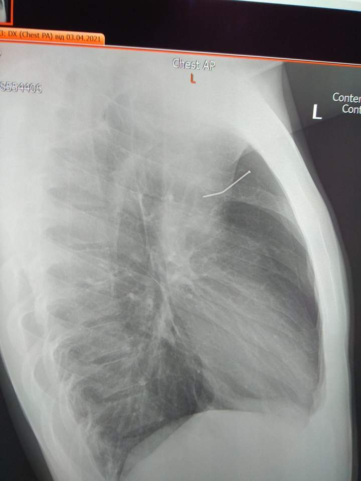
Львівські лікарі витягли з легені неповнолітнього будівельний цвях. 17-річний хлопець випадково пробив орган цвяхозабивним пістолетом. Небезпечний предмет медики дістали без жодних розрізів.

Не забудьте підписатися на канал Lviv.vgorode.ua в Telegram.

У суботу, 3 квітня, 17-річний хлопець прибивав вдома на Жовківщині дощечки. Коли вже закінчив роботу, перечепився і впав. Внаслідок різкого руху, пневматичний пістолет, який «стріляє» цвяхами, випадково вистрелив йому у груди. Нещасного "швидкою" доставили до львівської обласної дитячої лікарні ОХМАТДИТ, пише Zaxid.net. 

Львівські лікарі витягли з легені неповнолітнього будівельний цвях. Фото: Zaxid.net. Львівські лікарі витягли з легені неповнолітнього будівельний цвях. Фото: Zaxid.net. 

Стан хлопця був важкий через дихальну недостатність, у нього була задишка, біль у лівій половині грудної клітки, розвинувся лівобічний пневмоторакс – повітря потрапило у грудну клітку, здавило ліву легеню і зміщувало серце вправо. Хлопця відразу взяли в операційну.

До складу операційної бригади увійшли дитячі хірурги Роман Ковальський, Олег Ленів, Олександр Колодій, Микола Микита і анестезіолог Андрій Галян.

«Ситуація була дуже небезпечна, до аорти бракувало всього кілька міліметрів. Якби цвях пробив аорту, ми б його уже не встигли врятувати, зважаючи, що доїхати з району до Львова так швидко неможливо. Але цьому хлопцю буквально пощастило – цвях пробив легеню. Ми мали ще час на порятунок», – розповів дитячий хірург Микола Микита.

За словами торакального хірурга лікарні Олега Леніва, під час оперативного втручання хірурги застосували найновішу сучасну методику лікування – торакоскопію. Тобто, дістали цвях без жодних розрізів.

Нині пацієнту вже значно краще. Сьогодні йому знімуть один дренаж, а за кілька днів – ще один.

Додавайтеся у Viber і підписуйтеся на нас в Instagram. Обговорити цю новину можна на нашій сторінці у Facebook.

Це чат - пиши та читай 👇
Ого! ти доскролив до нашого чатбота 😏
Тепер у тебе є можливість налаштувати його під себе і дізнаватися важливий контент першим, щоб розповідати друзям
Тільки пошта, тільки хардкор 🤘
Ми в соцмережах